Permanent Teeth Replacement in Elizabeth, NJ
Permanent teeth replacement in Elizabeth, NJ provides fixed dental solutions designed to support chewing function, bite balance, and long-term oral stability when teeth are no longer present.

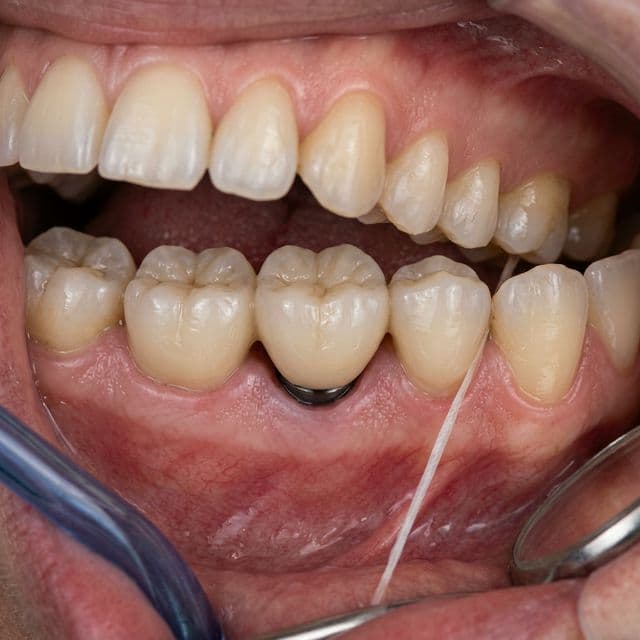
WHAT IT IS
Permanent teeth replacement refers to fixed dental restorations used to substitute teeth that are no longer present while maintaining stability and function. These solutions commonly include dental implants, implant-supported bridges, or fixed prosthetic restorations that remain securely positioned in the mouth. Unlike removable appliances, these options are designed to function more like natural teeth in everyday use. Many individuals searching for a dentist near me explore permanent replacement options to maintain bite balance and chewing efficiency. Consulting a top-rated dentist in Elizabeth, NJ helps determine whether fixed replacement is suitable based on bone structure and oral health status.
HOW IT WORKS
Treatment typically begins with digital imaging and a detailed dental evaluation to assess bone support, gum health, and remaining teeth. Based on these findings, a personalized treatment plan is created outlining implant placement or other fixed restoration options. The procedure may involve surgical placement followed by a healing period before final restoration placement. Patients across Elizabeth (07201, 07202, 07206, 07207, 07208), Hillside (07205), Roselle (07203), Linden (07036), Union (07083, 07088), Irvington (07111), and Kenilworth (07033) often consult a best dentist near me when considering permanent tooth replacement. Follow-up appointments help monitor integration and ensure proper function.
HOW IT HELPS
Replacing teeth with fixed solutions helps maintain alignment of surrounding teeth and supports consistent chewing ability. Stable replacements also help distribute bite forces more evenly across the jaw. Addressing tooth loss early can reduce strain on remaining teeth and supporting structures. Many patients choose care from a top dentist near me when seeking long-term replacement solutions. Structured treatment planning supports reliable function and overall oral stability.